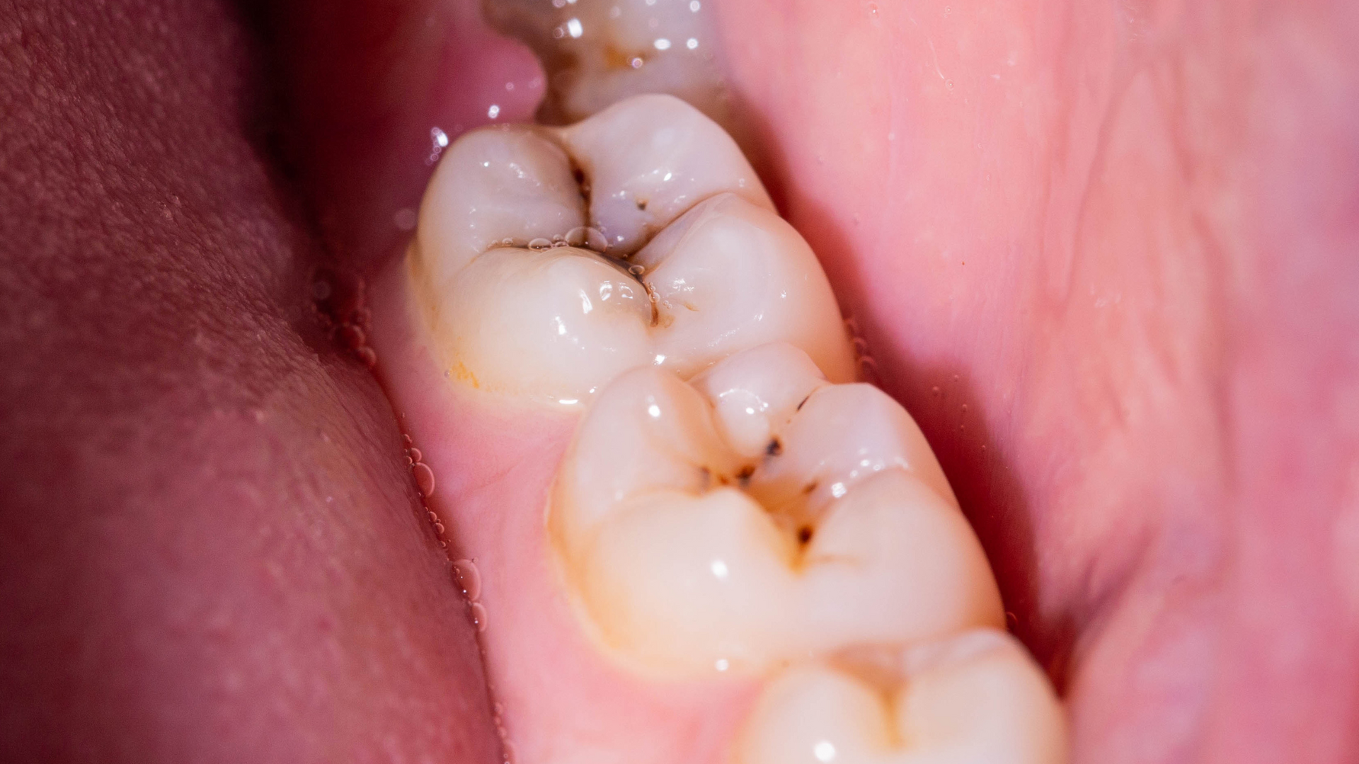
Cavities and Dental Decay
Preventive and Restorative Treatments
Protecting Your Teeth
from Decay
At Eddie Kao DDS, we help patients of all ages prevent, detect, and treat tooth decay with gentle, advanced care. Decay occurs when bacteria and plaque weaken the enamel, allowing acids to damage the teeth. If left untreated, this can lead to pain, infection, or even tooth loss.
Our team emphasizes prevention through regular checkups, cleanings, and patient education. With modern technology and personalized care, we work to strengthen your teeth, protect your oral health, and reduce your risk of future decay.


Restoring Health and Strength
Treatment Options and When to
Visit Us
Tooth decay can worsen over time if not treated early. Dr. Kao and our team use advanced diagnostic tools to identify issues quickly and provide effective treatment options tailored to your needs, including:
- Dental Fillings: Repair cavities with durable, natural-looking materials.
- Dental Crowns: Restore and protect teeth with extensive decay or structural damage.
- Root Canal Therapy: Remove infection and preserve your natural tooth when decay reaches the pulp.
- Fluoride Treatments: Reinforce enamel and prevent new cavities from forming.
If you experience sensitivity, discomfort, or visible spots on your teeth, it’s time to schedule a visit. Early care helps prevent complications and keeps your teeth strong and healthy.
Protect Your Teeth from Decay
Schedule your appointment today and take the first step toward stronger, healthier teeth. Our team provides gentle, personalized care to restore and protect your oral health with lasting results.

